Our Dental Work Gallery
Welcome to our photo gallery, where you can explore the smiles we've had the pleasure of transforming. Each image tells a story of confidence restored and lives changed through the art and science of dentistry.
Whether you're considering a cosmetic enhancement, restorative procedure, or just curious about our work, these photos showcase the precision, care, and dedication we bring to every patient's journey. Take a look around, and see how we can help you achieve the smile you've always wanted.





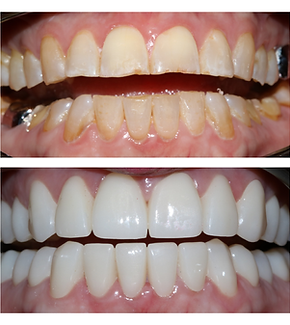
Full Mouth Rehabilitation
Pre-Op pictures show decay, severe acid erosion, and wear which led to loss of the patient's natural vertical dimension of their bite. The collapsed bite led to chronic TMJ pain and persistent bruxism (clenching and grinding) for this patient.
The patient's treatment included full mouth rehabilitation with dental crowns to open the patient's bite to a more natural vertical dimension, restore the missing enamel, and treat the existing decay. Following the delivery of the new crowns, the patient was fitted with a hard nightguard to protect the new crowns and reduce TMJ pain. The patient is now healthy and free of symptoms.




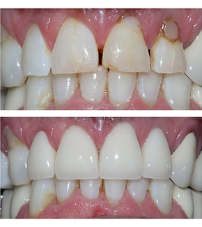
Full Coverage Zirconia Crowns
This patient presented with chipping, decay, staining, and rotation/tipping of natural teeth. There were already several composite restorations placed on these teeth, all of which had recurrent decay and treatment was necessary to restore these teeth to health. The patient's front 6 teeth were corrected with full coverage Zirconia crowns in an effort to reach an esthetic result without the intervention of orthodontic treatment or root canal therapy.


Dental Implant Surgery and Restoration
1) Pre-op x-ray of missing tooth #14, and tooth #13 with an infection that required extraction.
2) Photo of #13 and #14 implants placed at the time of surgery.
3 and 4) Photo and x-ray of implants and healing abutments at the 2-week follow-up appointment.
5) 4 months post-surgery implants and gums are ready for the final impression.
6 and 7) X-ray and photo of implants restored with crowns showing bone and gum health.




Timeline Photos of Dental Implant Surgery and Restoration





